20代学生 裏側矯正
- 治療期間
治療期間
1年8ヶ月
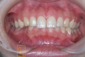
| 初診時年齢 | 20y2m |
|---|---|
| 主訴・歯並び | 出っ歯・過蓋咬合 |
| 治療費 | 1,287,000(税込) |
| 治療期間 | 1y8m |
| 治療内容 | 裏側矯正装置/上顎2本抜歯/アンカースクリュー |
| 副作用・リスク | ブラッシング不良によるカリエスリスク、歯肉退縮、歯根吸収、歯の間に三角の隙間ができることがあります |
| Before | After |
|---|---|
|
|
|
|
|
|
|
|
治療期間
1年8ヶ月
| 初診時年齢 | 20y2m |
|---|---|
| 主訴・歯並び | 出っ歯・過蓋咬合 |
| 治療費 | 1,287,000(税込) |
| 治療期間 | 1y8m |
| 治療内容 | 裏側矯正装置/上顎2本抜歯/アンカースクリュー |
| 副作用・リスク | ブラッシング不良によるカリエスリスク、歯肉退縮、歯根吸収、歯の間に三角の隙間ができることがあります |
| Before | After |
|---|---|
|
|
|
|
|
|
|
|