治療期間
1年9ヶ月
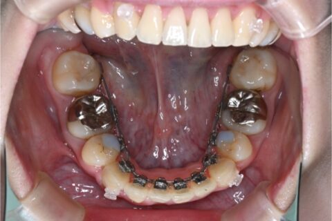
| 初診時年齢 | 25y |
|---|---|
| 主訴・歯並び | 出っ歯・上顎前突 |
| 治療費 | 1,170,400(税込) |
| 治療期間 | 1y9m |
| 治療内容 | 裏側矯正装置/上下4番抜歯/アンカースクリュー |
| 副作用・リスク | ブラッシング不良によるカリエスリスク、歯肉退縮、歯根吸収、歯の間に三角の隙間ができることがあります。 |
| Before | After |
|---|---|
|
|
|
|
|
|
|
|
治療期間
1年9ヶ月
| 初診時年齢 | 25y |
|---|---|
| 主訴・歯並び | 出っ歯・上顎前突 |
| 治療費 | 1,170,400(税込) |
| 治療期間 | 1y9m |
| 治療内容 | 裏側矯正装置/上下4番抜歯/アンカースクリュー |
| 副作用・リスク | ブラッシング不良によるカリエスリスク、歯肉退縮、歯根吸収、歯の間に三角の隙間ができることがあります。 |
| Before | After |
|---|---|
|
|
|
|
|
|
|
|